Por Jederson Reichert Wolfart – Cirurgião Dentista

Na impossibilidade da instalação de implantes dentários que pode ocorrer por diversos motivos, tais como: sítio ósseo insatisfatório (necessidade de enxertia óssea), acidentes anatômicos (seio maxilar, nervo dentário inferior), pacientes imunodepremidos, pacientes com osteoporose(utilizando Bifosfonatos como o Alendronato de sódio), diabéticos não controlados, pacientes com fobia ao procedimento;
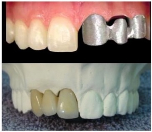
A melhor alternativa para recuperar a estética e função do paciente ainda é a ponte fixa metálo cerâmica.
Esta prótese consiste em uma estrutura metálica que é responsável pela resistência estrutural e o componente cerâmico que reconstrói a forma anatomia, estética e função dos dentes envolvidos.
Consultório na rua Guarita nº 406 , centro – Crissiumal- Fone: 3524-2528.

| Tweet |